Аорто-бедренное бифуркационное шунтирование с использованием робототехники
Резюме
Робот-ассистированные оперативные вмешательства являются одними из самых динамически развивающихся отраслей хирургии. Область применения робототехники с каждым годом расширяет свои границы. Использование роботических методик в сосудистой хирургии, которые могут уменьшить количество послеоперационных осложнений и сократить время пребывания пациента в стационаре, является новым этапом развития минимально инвазивных технологий. В статье описан первый опыт робот-ассистированного аорто-бедренного бифуркационного шунтирования в НИИ-ККБ №1 им. проф. С.В. Очаповского по поводу хронической артериальной недостаточности III ст. по Покровскому—Фонтейну.
Как цитировать: Порханов В.А., Виноградов Р.А., Закеряев А.Б., Бахишев Т.Э., Матусевич В.В., Хангереев Г.А., Бутаев С.Р., Ерастова А.В. Аорто-бедренное бифуркационное шунтирование с использованием робототехники. Кардиология и сердечно-сосудистая хирургия. 2023;16(3):332–337. https://doi.org/10.17116/kardio202316031332
Введение
Аортофеморальное шунтирование является традиционным методом реваскуляризации нижних конечностей при окклюзии аорто-подвздошного сегмента [1]. Пациентам с протяженной окклюзией рекомендованы открытые оперативные вмешательства, однако последние ассоци ированы с высокой травматичностью, интраоперационными рисками и летальностью [2]. Ввиду этого в мире большой популярностью пользуется малоинвазивная хирургия с использованием робот-ассистированных хирургических установок [3]. На сегодняшний день эти технологии все чаще используют в сосудистой хирургии с целью улучшения и расширения показаний для оперативных вмешательств за счет повышения точности и эффективности выполнения задач во время операций на аорто-бедренном сегменте.
Пациент Р., 59 лет, поступил в отделение сосудистой хирургии НИИ — Краевая клиническая больница №1 им. проф. С.В. Очаповского в апреле 2022 г. с жалобами на боль в икроножных мышцах правой нижней конечности в покое, левой нижней конечности при прохождении дистанции до 10 м. Пациент считает себя больным в течение 2 лет. Последние 10 дней отмечает ухудшение состояния, нарушение сна.
Из анамнеза известно, что пациент наблюдается у пульмонолога и инфекциониста по поводу туберкулеза легких и вирусного гепатита С. В 2021 г. пациенту выполнена резекция верхней доли правого легкого.
Согласно данным ультразвуковой доплерографии, коллатеральный кровоток определяется с уровня правой общей подвздошной, левой наружной подвздошной артерий и далее на протяжении во всех проекциях магистральных артерий. Лодыжечный индекс давления: 0,28 справа и 0,42 слева.
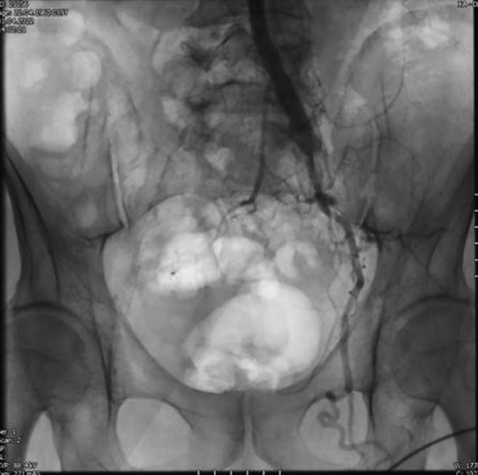
При мультиспиральной компьютерной томографии (МСКТ) с внутривенным контрастированием были выявлены: атеросклеротическое поражение аорты и ее ветвей, окклюзия правой общей и обеих наружных подвздошных артерий (рис. 1).
Рис. 1. 3D-реконструкция МСКТ с внутривенным контрастированием до оперативного вмешательства.
По ангиографии артерий нижних конечностей подтверждается уровень окклюзии. Бедренные, подколенные и берцовые артерии проходимы (рис. 2).
Рис. 2. Ангиография артерий нижних конечностей.
На основании проведенного исследования пациенту выставлен диагноз: «Атеросклероз. Синдром Лериша. Окклюзия правой общей, обеих наружных подвздошных артерий. Хроническая артериальная недостаточность III ст. обеих нижних конечностей. Сопутствующие заболевания: гипертоническая болезнь 3-й ст., риск 4. Хроническая сердечная недостаточность 1-й ст., II класса по NYHA. Очаговый туберкулез верхней доли левого легкого, фаза у плотнения, МБТ(–), IA гр. Хронический деформирующий бронхит вне обострения. Хронический вирусный гепатит С (атHCVсум+, атHCVcor+, NSсум+) минимальной степени активности. Хронический гастрит, бульбит. Очаговый туберкулез верхней доли левого легкого, фаза уплотнения, МБТ(–), IA гр. Состояние после резекции верхней доли правого легкого (10.2021). Хронический деформирующий бронхит вне обострения».
Учитывая данные анамнеза, клинической картины, инструментальных методов исследования и благоприятные анатомические условия, с целью уменьшения операционной травмы было принято решение о выполнении реконструктивной операции на аорто-подвздошном сегменте с использованием робототехники.
Проведена стандартная предоперационная подготовка, заключающаяся в общеклиническом обследовании, коррекции терапии сопутствующих заболеваний и очистке кишечника при помощи солевых слабительных.
Техника операции. Операцию проводили под эндотрахеальным наркозом, пациент находился в положении Тренделенбурга (на спине). Выполнен косой доступ к бед ренным артериям длиной 6 см. Выделены правая и левая общие бедренные артерии, взяты на держалки. Артерии мягкие, сжимаемые, в ране не пульсируют. Далее по срединной линии на 7 см выше пупочного кольца с использованием иглы Вереша наложен карбоксиперитонеум. Поддерживаемое давление в брюшной полости составляло 14—16 мм рт.ст.
Слепым способом установлен видеооптический троакар 8 мм. В троакар введен лапароскоп. Патологических новообразований, спаечного процесса и свободной жидкости в брюшной полости при обзорной лапароскопии не выявлено. По параректальной линии справа, на 4 см выше пупочного кольца, установлен рабочий троакар 8 мм для третьей роботизированной руки. Между видеооптическим троакаром и третьим роботизированным троакаром, на 4 см выше уровня расположения вышеуказанных троакаров, установлен ассистентский троакар 5 мм. По параректальной линии в левой боковой области, на одном уровне с остальными роботизированными троакарами, установлен троакар 8 мм для первой роботизированной руки. Отступив от третьего троакара на 10 см латеральнее, в левой подвздошной области установлен троакар 8 мм для четвертой роботизированной руки. Между видеоскопическим троакаром и первой роботизированной рукой, на 4 см выше уровня расположения роботизированных троакаров, установлен ассистентский троакар 12 мм (рис. 3).
Рис. 3. Схема расположения троакаров и бедренных доступов.
Фиксированы манипуляторы роботической установки Da Vinci Xi. Вскрыта брюшина над бифуркацией аорты в каудальном направлении. Мобилизована левая и правая общие подвздошные артерии до уровня пересечения с мочеточником. Через ассистентский троакар в брюшную полость заведены сосудистые зажимы типа «бульдог». Внутривенно введен гепарин 2500 Ед. На терминальный отдел аорты, выше бифуркации на 5 см, и левую общую подвздошную артерию, дистальнее бифуркации аорты на 3 см, наложены сосудистые зажимы типа «бульдог» (рис. 4).
Рис. 4. Выделение аорты и подвздошных артерий. Наложение сосудистых зажимов типа «бульдог».
Окклюзия правой общей подвздошной артерии не требовала наложения сосудистого зажима. Выполнена аортотомия. Сформировано окно до 3—3,5 см в диаметре. В брюшную полость заведен протез VUP MEDICAL 14×7 мм. Сформирован анастомоз между аортой и протезом по типу «конец в бок» полипропиленовой нитью 4/0 непрерывным обвивным швом. Поочередно сняты зажимы с аорты и подвздошной артерии. Наложен сосудистый зажим на основную браншу протеза. Бранши протеза проведены ретроперитонеально по ходу общих и наружных подвздошных артерий под паховой связкой в область бедренных ран с помощью аортального зажима DeBakey под контролем зрения через видеокамеру робота (рис. 5).
Рис. 5. Проксимальный анастомоз между аортой и основной браншей протеза. Проведение браншей протеза в ретроперитонеальном пространстве.
Ушивание париетального листка брюшины над аортой. По правому флангу в область анастомоза через ассистентский троакар проведен страховой дренаж. Манипуляторы роботической установки Da Vinci Xi отсоединены. Возвращение операционного стола из положения Тренделенбурга.
Длительность оперативного вмешательства составила 215 мин. Время формирования анастомоза с использованием робототехники составило 32 мин, а время окклюзии левой общей подвздошной артерии — 34 мин. Объем интраоперационной кровопотери составил около 200 мл. Пациент был экстубирован через 10 мин после окончания операции, на операционном столе, и переведен в отделение реанимации и интенсивной терапии (ОРИТ).
Послеоперационный период протекал без особенностей и осложнений. На вторые сутки после операции пациент переведен в общую палату из ОРИТ, вертикализирован. Самостоятельный стул получен через сутки после операции. На третьи сутки удалены дренажи (рис. 6), выполнена МСКТ с внутривенным контрастированием с шагом 1 мм с целью послеоперационного контроля (рис. 7). Конструкция проходима, препятствий для кровотока нет.
Рис. 6. Послеоперационные раны после удаления дренажей (3-и сутки).
Рис. 7. 3D-реконструкция МСКТ с внутривенным контрастированием после оперативного вмешательства.
Обсуждение
Применение робот-ассистированных установок при выполнении оперативных вмешательств можно считать новой эпохой развития мини-инвазивной хирургии. Высокая точность движений, минимальная травматизация, улучшенная визуализация и короткие сроки реабилитации являются одними из главных факторов, позволяющих применять роботические установки в различных хирургических специальностях, и сосудистая хирургия не является исключением.
Хирургический робот da Vinci — это самая совершенная и сложная технология в области эндоскопической хирургии, состоящая из трех компонентов [4—6]. Первая часть представляет собой консоль, имеющую три или четыре манипулятора, благодаря которым осуществляется оперативное вмешательство [4, 6]. Вторая часть представлена комплексом, осуществляющим соединение хирургической консоли и консоли оператора, а также их синхронизацию. Третья часть — это консоль оператора, который управляет манипуляторами робота [6].
Отсутствие обратной тактильной связи и высокая изначальная стоимость роботической системы и расходных материалов являются главными недостатками робот-ассистированных операций [2, 3, 7]. Однако роботический аппартат Senhance, созданный компанией TransEnterix, может обеспечить обратную тактильную связь от рычагов с тросовым приводом, которые обеспечивают 7 степеней свободы движений. Аппарат Senhance активно применяют в мировой практике, в частности в гинекологии и колоректальной хирургии, с 2017 г. [4].
J.C. Lin отмечает ряд преимуществ робот-ассистированных операций: это долгосрочные результаты открытых оперативных вмешательств, короткая кривая обучения в сравнении с традиционной лапараскопической хирургией, улучшенная визуализация, контроль, точность и ловкость движений, что позволяет выполнять оперативные вмешательства с высоким техническим успехом [2—7]. Таким образом, робот-ассистированные оперативные вмешательства у больных с поражением абдоминального отдела аорты обладают рядом преимуществ, которые заключаются в быстроте и относительной простоте реконструктивных операций.
Заключение
Опираясь на опыт бифуркационного шунтирования с использованием робототехники, можно отметить, что робот-ассистированные операции знаменуют новый этап развития минимально инвазивных технологий в сосудистой хирургии за счет возможностей современных роботических систем, которые позволяют уменьшить травматизацию оперативных вмешательств и сократить сроки реабилитации пациентов.
Авторы заявляют об отсутствии конфликта интересов.

